La evaluación de los cambios de los tejidos faciales superficiales mediante el registro ecográfico es un enfoque novedoso en la aplicación del Endoláser. Se reporta la variación en la dermis, epidermis, banda subepidérmica de baja ecogenicidad (SLEB) y tejido celular subcutáneo posterior a la aplicación de la técnica Endoláser con plataforma de láser diodo 1470 nm a los 30, 60 y 90 días siguientes. Se realizó un estudio descriptivo prospectivo como prueba piloto, donde se evaluaron en 9 pacientes el tercio medio e inferior del rostro. Se utilizó el transductor lineal en equipo de marca Sonoscape modelo S2 de 18 MHz, se registraron los datos ecográficos y se clasificaron a los pacientes según la escala de Merz 0-4. De acuerdo con la evidencia ecográfica, se observó un aumento importante en el grosor y densidad de la dermis, así como la disminución de la SLEB, siendo estadísticamente significativos en su totalidad los cambios a los 90 días en las tres zonas tratadas (p<0,05). En cuanto al cambio según la escala de MERZ a los 90 días, se observaron cambios satisfactorios, 33,3% pasaron de grado 2 a 1, 11,1% varió de grado 3 a 2 y el mismo porcentaje de grado 4 a 3. En conclusión, los hallazgos observados en los resultados ecográficos, posterior a la aplicación del endoláser facial evidencia mejoras internas en la piel, obteniendo cambios satisfactorios y respaldando a esta técnica como un procedimiento eficaz, no doloroso, mínimamente invasivo, de rápida reincorporación a la rutina que constituye una excelente alternativa para el manejo de la flacidez y adiposidad localizada en el rostro.
The evaluation of superficial facial tissue changes by ultrasound recording is a novel approach in Endolaser application. We report the variation in the dermis, epidermis, subepidermal band of low echogenicity (SLEB) and subcutaneous cellular tissue after the application of the Endolaser technique with 1470 nm diode laser platform at 30, 60 and 90 days. A prospective descriptive study was carried out as a pilot test, where 9 patients were evaluated in the middle and lower third of the face. A Sonoscape model S2 18 MHz linear transducer was used, ultrasound data were recorded, and patients were classified according to the Merz scale 0-4. According to the ultrasound evidence, a significant increase in the thickness and density of the dermis was observed, as well as a decrease in the SLEB, with statistically significant changes at 90 days in the three treated areas (p<0.05). As for the change according to the MERZ scale at 90 days, satisfactory changes were observed, 33.3% went from grade 2 to 1, 11.1% varied from grade 3 to 2 and the same percentage from grade 4 to 3. In conclusion, the findings observed in the ultrasound results after the application of the facial endolaser show internal improvements in the skin, obtaining satisfactorychanges and supporting this technique as an effective, painless, minimally invasive procedure, of quick reincorporation to the routine that constitutes an excellent alternative for the management of flaccidity and localized adiposity in the face.
El desarrollo de procedimientos mínimamente invasivos ha cobrado creciente relevancia en medicina estética facial, impulsado por la demanda de tratamientos eficaces con tiempos de recuperación reducidos. Entre estos avances, la tecnología láser ha representado una herramienta terapéutica de amplio alcance, especialmente en técnicas dirigidas a la retracción y remodelación tisular. El láser de diodo con longitud de onda de 1470 nm ha demostrado alta afinidad por el agua y la grasa, permitiendo una interacción precisa con el tejido subdérmico mediante mecanismos fototérmicos que inducen lipólisis, contracción del colágeno y estímulo de neocolagénesis, con mínima lesión epidérmica1,2.
La arquitectura de los tejidos faciales superficiales está constituida por un conjunto de capas funcionalmente interdependientes: epidermis, dermis, tejido celular subcutáneo, grasa superficial y el sistema músculo-aponeurótico superficial (SMAS)1,2,3. Estas estructuras, al envejecer, sufren modificaciones morfológicas y funcionales que se traducen en laxitud cutánea, flacidez y desdibujamiento del contorno facial3,4. La actuación térmica subdérmica mediante láser permite revertir parcialmente estos procesos al provocar cambios estructurales en las capas profundas sin alterar la superficie cutánea de forma visible1.
La técnica endoláser facial, consiste en la inserción subcutánea de una fibra óptica conectada a un generador láser que emite energía fototérmica localizada5. La aplicación controlada de esta energía induce desnaturalización de proteínas, licuefacción parcial de grasa y reorganización del colágeno dérmico, lo cual se manifiesta clínicamente como una mejoría en la tensión y calidad de la piel5,2. En una revisión sistemática, concluyeron que los efectos positivos observados del endoláser incluyen la reducción de la grasa localizada, el rejuvenecimiento de la piel, la reducción de las cicatrices del acné, queloides y la lipodistrofia progresiva12. Sin embargo, la evidencia objetiva sobre estos efectos ha sido mayormente de carácter clínico observacional, basada en valoraciones visuales o fotográficas antes y después del procedimiento.
En este contexto, la ecografía de alta frecuencia emerge como una herramienta diagnóstica no invasiva y altamente sensible, capaz de visualizar con precisión las capas anatómicas de la cara y documentar cambios estructurales postratamiento. Esta técnica permite medir el grosor del tejido, analizar su ecogenicidad y detectar la presencia de fibrosis o reorganización colagénica, constituyéndose en un método complementario ideal para evaluar la efectividad del endoláser a nivel tisular6,11.
Diversos estudios recientes han demostrado la capacidad del láser de diodo 1470 nm para generar efectos selectivos a profundidades de 5 a 8 mm, con un perfil térmico que respeta la integridad epidérmica y permite modificar la arquitectura del tejido conectivo subdérmico 7,9. Este enfoque terapéutico ha sido integrado en protocolos estandarizados que consideran parámetros como potencia, tiempo de exposición y modo de emisión, contribuyendo a optimizar los resultados clínicos y minimizar riesgos5. Asimismo, investigaciones en revistas especializadas han reportado efectos favorables en la retracción cutánea, mejora del perfil mandibular y reducción de depósitos grasos submentonianos, sin eventos adversos significativos5,1.
La literatura iberoamericana ha contribuido al cuerpo de conocimiento disponible mediante estudios clínicos sobre la técnica endoláser con láser diodo, incluyendo reportes de aplicación en ritidosis faciales y en la reducción del panículo adiposo subcutáneo con documentación fotográfica y seguimiento longitudinal. En dichas publicaciones se ha descrito una mejoría progresiva de los parámetros clínicos, sugiriendo la utilidad del láser como herramienta de rejuvenecimiento facial mínimamente invasiva8,5. Además de ello, experiencias clínicas prolongadas han evidenciado que el uso del láser de diodo en procedimientos estéticos faciales no solo permite la retracción cutánea, sino que también mejora la calidad del tejido tratado, sin complicaciones relevantes ni tiempos de recuperación prolongados8. En este mismo sentido, en un estudio de evaluación retrospectiva de cuatro años de aplicación del endoláser en alteraciones estéticas faciales y corporales, se observaron mejoras sostenidas en la firmeza tisular y satisfacción del paciente, lo que respalda la seguridad y eficacia de esta tecnología como alternativa mínimamente invasiva en medicina estética10.
Con respecto al envejecimiento cutáneo, un hallazgo relevante en este contexto ha sido la presencia de la Banda Subepidérmica de Baja Ecogenicidad (SLEB). Esta estructura, identificada mediante ecografía de alta frecuencia, se ha propuesto como un marcador sensible de daño estructural dérmico asociado al fotoenvejecimiento y al envejecimiento cronológico13. La SLEB representa una zona hipoecoica ubicada inmediatamente bajo la epidermis, cuya presencia y grosor se correlacionan con alteraciones en la matriz extracelular, disminución de colágeno y cambios en la hidratación dérmica13,14. Su medición puede aportar una herramienta cuantificable para evaluar la respuesta del tejido a terapias de rejuvenecimiento, incluyendo el endoláser facial, y establecer indicadores objetivos de efectividad terapéutica.
No obstante, existe una brecha en la evidencia objetiva mediante métodos de imagen que respalden de forma cuantificable los resultados observados en la práctica clínica. La ecografía facial, al proporcionar imágenes en tiempo real y sin riesgo biológico, se presenta como el recurso ideal para evaluar la respuesta tisular posterior a tratamientos con endoláser. Su incorporación en estudios prospectivos permitiría validar científicamente los efectos terapéuticos reportados, establecer patrones de respuesta en diferentes tipos de piel y orientar ajustes técnicos individualizados.
La presente investigación tiene como propósito describir, mediante ecografía de alta frecuencia, el comportamiento de los tejidos faciales superficiales tras la aplicación de láser de diodo 1470 nm bajo técnica endoláser estandarizada. Se evaluarán parámetros como grosor del tejido, cambios ecogénicos y signos de retracción o fibrosis, a fin de documentar la eficacia del procedimiento en términos morfoestructurales. El alcance de este estudio incluye la generación de evidencia objetiva que fortalezca la base científica de esta técnica, aporte criterios diagnósticos ecográficos aplicables en la práctica estética médica y contribuya a la optimización de protocolos clínicos.
Se realizó un estudio descriptivo prospectivo con evaluaciones desde el inicio, a los 30, 60 y 90 días, como prueba piloto. La muestra estuvo conformada por 9 pacientes que consultaron y se aprobaron para el procedimiento en el período de julio a noviembre del 2024.
Dentro de los criterios de inclusión: pacientes de ambos sexos, de cualquier edad, de cualquier fototipo de piel, con un grado de envejecimiento II-IV según la escala MERZ con un puntaje de 0 a 4 según la escala de Merz, que tiene criterios en tercio medio e inferior del rostro; clasificando el envejecimiento con un puntaje que va del 0 al 4; donde 0 indica mejillas superiores e inferiores posicionadas, sin pliegues, sin flacidez en la línea mandibular y el cuello; 1 indica mejillas superiores e inferiores medianamente hundidas, pliegues leves, flacidez leve en la línea mandibular y el cuello; 2 indica mejillas superiores e inferiores moderadamente hundidas, pliegues moderados, flacidez moderada en la línea mandibular y el cuello; 3 indica mejillas superiores e inferiores severamente hundidas, pliegues severos, flacidez severa en la línea mandibular y el cuello; 4 indica mejillas superiores e inferiores hundidas muy severas, pliegues muy severos, flacidez muy severa en la línea mandibular y el cuello13.
Para los criterios de exclusión se tuvo en cuenta la presencia de material de relleno tipo biopolímero, embarazo y lactancia, inmunosuprimidos por patologías o medicamentos, infecciones activas, enfermedades inflamatorias y crónicas, enfermedades reumatológicas y de colágeno.
Este estudio se realizó mediante los principios contenidos en la declaración de Helsinki, en el estudio clínico con sujetos humanos. Todos los pacientes del estudio fueron notificados de los riesgos, beneficios y evolución del procedimiento mediante el consentimiento informado, el cual podrían aceptar o rechazar de manera voluntaria.
Al asistir a la consulta se realizó una evaluación clínica completa, describiendo la historia clínica y estableciendo los diagnósticos, se indicaron exámenes de laboratorio pre-procedimiento (hematología completa, PT y PTT), evaluación ecográfica de piel y tejidos faciales, elaborado con un transductor lineal en equipo de marca Sonoscape modelo S2 de 18 MHz. Se realizaron mediciones de la epidermis, dermis, SLEB y tejido celular subcutáneo. Para el registro fotográfico se utilizó una cámara canon profesional EOS R8 con lente RF-S.
Antes de la aplicación del protocolo se realizó la correcta asepsia y antisepsia del rostro y cuello con clorhexidina, se infiltró anestesia local en los 5 puntos de entrada, por donde se introdujo la fibra láser posterior a la infiltración de la solución de Klein modificada por todo el trayecto a tratar. La parametría utilizada fue 4 – 8W en modo pulsado a razón de 120 ms (t-on)– 140 (t-off) ms, dependiendo del paciente y la zona a tratar, con una dosimetría promedio de 600 a 700 Joules por hemicara y de 400 a 600 Joules por cada lado del cuello. Posterior a culminar el procedimiento se recomendó la aplicación de crioterapia intermitente durante las primeras 72 horas. A las 24 horas se inició ultrasonido de 1Mhz durante 20 minutos en toda el área tratada por 6 sesiones interdiarias, se indicó el uso de la faja de compresión luego del 7mo día, la cual continuaron utilizando diariamente al menos por un mes.
La efectividad en la muestra se determinó por los cambios obtenidos en el registro ecográfico el día 0, a los 30, 60 y 90 días, midiendo en piel el grosor de la epidermis, SLEB, dermis y los cambios del tejido adiposo, la evidencia fotográfica y los cambios registrados según Merz. Para analizar los datos se registraron en la ficha del paciente y luego se tabularon en una tabla Excel, presentando los resultados en tablas y gráficos de frecuencia y porcentaje. Se utilizó estadística descriptiva para verificar los datos y calcular mediana y medidas intercuartiles. Se aplicó una prueba no paramétrica: Prueba de rangos con signo de Wilcoxon para muestras dependientes (antes y después del tratamiento) y se consideró significativo p< 0,05.
Con respecto a la caracterización de la muestra, 88,9% del sexo femenino y 11,1% masculino, en cuanto a la edad de los pacientes, 5 pacientes tenían entre 40 – 45 años (55,5%); 1 paciente 55 años (11,1%) y 3 mayores de 60 años (33,3%).
En la tabla 1, se puede observar los valores de la epidermis al inicio, a los 30, 60 y 90 días post-procedimiento mediante el registro ecográfico en la región cigomática (derecha e izquierda), región submandibular (derecho-izquierda) y región submentoniana. En la epidermis se registran cambios estadísticamente significativos en la zona submentoniana aumentando su espesor a partir del mes.
Tabla 1. Cambios ecográficos en la epidermis a los 30, 60 y 90 días después del endoláser” con plataforma de láser diodo 1470 nm
La Tabla 2 muestra los cambios del SLEB, en cada zona evaluada y se observa cómo se reduce su medida desde el primer mes. Este hallazgo es estadísticamente significativo a los 90 días, y sugiere una mejora en la calidad de la piel, específicamente en la estimulación de la producción de colágeno
Tabla 2. Cambios ecográficos en el SLEB a los 30, 60 y 90 días después del endoláser” con plataforma de láser diodo 1470 nm
En cuanto a la dermis, (Tabla 3) se observa aumento de la densidad tanto en la zona cigomática como en la submandibular a partir de los 30 días, sugiriendo mayor restructuración, reorganización y mejoría en la densidad dérmica. Estos cambios fueron estadísticamente significativos (p< 0,05).
Tabla 3. Cambios ecográficos en la dermis a los 30, 60 y 90 días después del endoláser” con plataforma de láser diodo 1470 nm
Tabla 4. Cambios ecográficos en el TCS a los 30, 60 y 90 días después del endoláser” con plataforma de láser diodo 1470 nm

El TCS es reportado en la Tabla 4, se observa en las zonas submandibular y submentonia una tendencia de disminuir su volumen, afinando estas partes del rostro y resaltando los rasgos. En la zona cigomática, se observó un aumento a los 30 y 60 días, siendo este cambio significativo, a los 90 días se logra una disminución de este volumen.
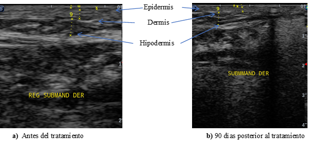
Ahora bien, para comparar los cambios ecográficos a nivel del grosor de la piel, los tejidos de soporte y la disminución del tejido adiposo, se muestran en las figuras 1 y 2, donde se puede evidenciar el aumento en grosor de la dermis-SLEB y los cambios del tejido celular subcutáneo, mediante la imagen ecográfica.
Figura 1. Evaluación ecográfica comparativa de la región submandibular derecha
Evaluación ecográfica comparativa de la región submentoniana
Figura 3. Evolución clínica a los 90 días del procedimiento según registro fotográfico
En la evolución clínica posterior a los 90 días después de realizado el procedimiento endoláser en tercio medio e inferior del rostro, se evidencia la mejoría significativa de cada paciente, tanto en tercio medio donde se observa la reposición de tejidos en la zona malar y cigomática, disminución del surco nasoyugal y nasogeniano, redensificación de la piel, disminución de las líneas de marioneta y los jowls dando como resultado mayor definición del contorno mandibular así como disminución del tejido graso en la región submentoniana.
Tabla 5. Mejoría basada en la Merz
| ANTES | DESPUÉS | |||
|---|---|---|---|---|
| ESCALA Merz | F | % | F | % |
| 1 | 3 | 33,3% | ||
| 2 | 6 | 66,7% | 4 | 44,4% |
| 3 | 2 | 22,2% | 2 | 22,2% |
| 4 | 1 | 11,1% | 0 | 0% |
En la tabla 5, se evidencia los cambios ocurridos en el grado de fotoenvejecimiento según la escala de Merz. Al inicio, 6 pacientes se situaron en estadio 2 (66,7%), 2 pacientes estadio 3 (22,2%) y 1 estadio 4 (11,1%). A los 90 días, 3 pacientes pasaron al estadio 1 (33,3%); 4 pacientes presentaron estadio 2 (44,4%); 2 pacientes (22,2%) pertenecían a Merz 3. mostrando una disminución en el grado de envejecimiento según la escala.
La pérdida de soporte, desplazamiento y atrofia de las distintas estructuras que conforman el rostro, forman parte del proceso natural del envejecimiento. Swift y cols15, describieron el proceso de envejecimiento por capas y explican que la grasa facial subcutánea se divide en varios compartimentos, lo cual se relaciona directamente con los cambios volumétricos que experimenta el rostro a medida que envejece, destacan que en el tercio medio se definen los compartimentos grasos superficiales de la mejilla medial, medio y temporal lateral y la grasa nasolabial, mientras en el tercio inferior de la cara se compone de la capa de grasa superficial junto con la grasa mental y submental. Estos compartimentos comprenden lóbulos de grasa que son más grandes y están dispuestos de forma más laxa y tienden a ocurrir en un patrón más caótico. Los compartimentos de grasa superficial son más móviles y están sujetos tanto a la tensión de reposo como a la dinámica de los músculos mímicos. Actualmente, son múltiples los tratamientos y plataformas que se pueden utilizar para un rejuvenecimiento inteligente. Sin embargo, muchos de ellos ameritan varias sesiones a diferencia del endoláser, el cual es un procedimiento que genera un rejuvenecimiento facial, mediante una técnica mínimamente invasiva, la cual no amerita cortes, suturas ni una recuperación complicada.
La plataforma de láser diodo de 1470nm, para realizar la técnica de endoláser es eficaz en el manejo de la grasa localizada y la ritides facial; así lo describen Zerpa y Suárez3, mediante un estudio a 5 pacientes en el cual describieron los cambios ecográficos, estructurales y clínicos como resultado de la aplicación de la técnica e láser, donde se obtuvo cambios importantes y satisfacción por parte de los pacientes.
Los resultados de este estudio revelaron mediante el registro fotográfico que el 100% de los pacientes reflejaron mejoría clínica significativa con respecto a la flacidez y la distribución de la grasa del rostro, dando como resultado un aspecto rejuvenecido y demostrando disminución de los signos del envejecimiento.
En este estudio, ecográficamente se evidenció aumento del grosor de la dermis, asociado a mayor ecogenicidad de dicha capa en los controles ecográficos, siendo más evidente a los 90 días, pero se registraron incluso a partir de los 30 días posterior al tratamiento, lo cual se puede explicar por un incremento en el número de fibras de colágeno en la dermis en todos los pacientes tratados, éste efecto fue obtenido en una única sesión de endolaser, todos estos cambios pueden ser indicativos de que el tejido experimenta tensión, respaldando la actuación de soporte de la piel.
Asimismo, se evaluó la SLEB, un marcador ecográfico asociado al fotodaño y cronoenvejecimiento. Mientras estudios previos como el de González y Ollarves16 reportaron su disminución con láseres no ablativos, este estudio representa el primer registro de reducción significativa de la SLEB tras tratamiento endoláser facial con diodo de 1470 nm, con resultados visibles desde los 30 días y más notorios a los 90 días, especialmente en la región submentoniana. Esta disminución podría correlacionarse con el engrosamiento dérmico observado y el aumento de la ecogenicidad general, dados los cambios en el comportamiento acústico del tejido cutáneo tras el tratamiento.
Respecto al tejido celular subcutáneo, se evidenció una mayor ecogenicidad hipodérmica en todos los casos, especialmente en zonas como los jowls y la región submentoniana. Este hallazgo sugiere una reorganización tisular relacionada con la licuefacción de grasa y la mayor expresión de septos fibrosos, junto con la disminución del grosor adiposo.
Los hallazgos ecográficos y clínicos fueron coherentes, con significancia estadística especialmente en las zonas cigomática y submentoniana. Estos resultados son congruentes con los reportados por Dias et al.17, quienes describieron reducción de grasa malar y retracción submentoniana con la técnica de endoláser, así como con el estudio de Rodríguez et al.18, cuyos pacientes mostraron mejoras claras en flacidez y adiposidad submentoniana con el mismo abordaje.
En conjunto, los hallazgos respaldan al endoláser facial con plataforma de diodo 1470 nm como un tratamiento seguro, eficaz y mínimamente invasivo, con alta tolerancia por parte del paciente, sin cicatrices visibles y con mínima alteración de la rutina diaria. Los beneficios fueron más evidentes en pacientes con envejecimiento leve o moderado, aunque también se observaron mejoras notables en casos más avanzados.
Finalmente, es importante enfatizar que la satisfacción del paciente depende también de una comunicación clara respecto a los alcances reales del procedimiento. En este sentido, en esta investigación, el 100% de los pacientes refirió estar satisfecho con los resultados obtenidos a los 90 días postratamiento.
La evaluación ecográfica mediante un protocolo sistemático se consolidó como una herramienta diagnóstica fundamental para documentar los efectos del tratamiento con endoláser basado en diodo de 1470 nm, aplicado en pacientes con flacidez cutánea y adiposidad localizada en los tercios medio e inferior del rostro. Esta metodología permitió objetivar los cambios morfológicos en el grosor de la epidermis, la dermis y SLEB, y establecer su comportamiento ecográfico a lo largo del tiempo como potenciales marcadores del proceso de remodelación dérmica inducido por el tratamiento.
Los hallazgos ecográficos evidenciaron, desde el primer mes postratamiento, una reducción significativa del espesor del tejido adiposo y un incremento progresivo en la densidad del tejido dérmico, con consolidación de los resultados a los 90 días. Estos cambios internos se correlacionaron estrechamente con la mejora clínica observada tanto en el registro fotográfico como en la clasificación de los pacientes según la escala de Merz, confirmando una disminución visible de los signos de envejecimiento facial.
La congruencia entre la evidencia clínica y los parámetros ecográficos respalda la eficacia del endoláser como un procedimiento mínimamente invasivo de impacto significativo en la redefinición del contorno facial lo que refuerza la viabilidad del procedimiento como alternativa terapéutica segura, tolerable y con resultados estéticamente favorables.